Now that you have your braces, how do you take care of them? It's important for you to know how to properly take care of your braces throughout your entire orthodontic treatment.
Wearing elastics (or rubber bands) improves the fit of your upper and lower teeth. Wear rubber bands as instructed, and remember that the rubber bands work far more efficiently if they're worn as prescribed.
The Herbst appliance reduces overbite by encouraging the lower jaw forward and the upper molars backward. This fixed appliance is used mostly for younger, growing children and is worn for about 12-15 months.
The palatal expander "expands" (or widens) your upper jaw by putting gentle pressure on your upper molars each time an adjustment is made. Your orthodontist will instruct you about when and how to adjust your expander. When you achieve the desired expansion, you will wear the appliance for several months to solidify the expansion and to prevent regression.
Retainers may be removable or fixed. They hold your teeth in their new, correct positions after your teeth have been straightened. Your orthodontist will instruct you on how to care for your retainer and about the duration of the wear. Wearing your retainer as directed is crucial to prevent regression of your treatment.
Separators are little rubber doughnuts that may be placed between your teeth to push them apart so that orthodontic bands may be placed during your next appointment. The separators will be removed before we place the bands. Separators do not mix well with sticky foods, toothpicks, or floss.
The Nance appliance is used to hold the upper molars in place, to prevent them from rotating or shifting forward. With this appliance, two metal bands are cemented around the first molars and a wire connects the back molars to an acrylic pad, located behind the two front teeth.
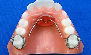
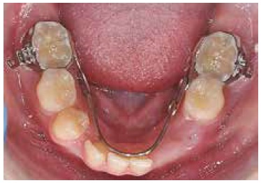
The Lower Lingual Arch is designed to hold the back molars in place. Many times it is used as a space maintainer in young patients who have lost one or more of their baby molars and space must be held for eruption of the permanent teeth.
© 2025 Quarry Orthodontics . All Rights Reserved. Website Design Company Algosoft