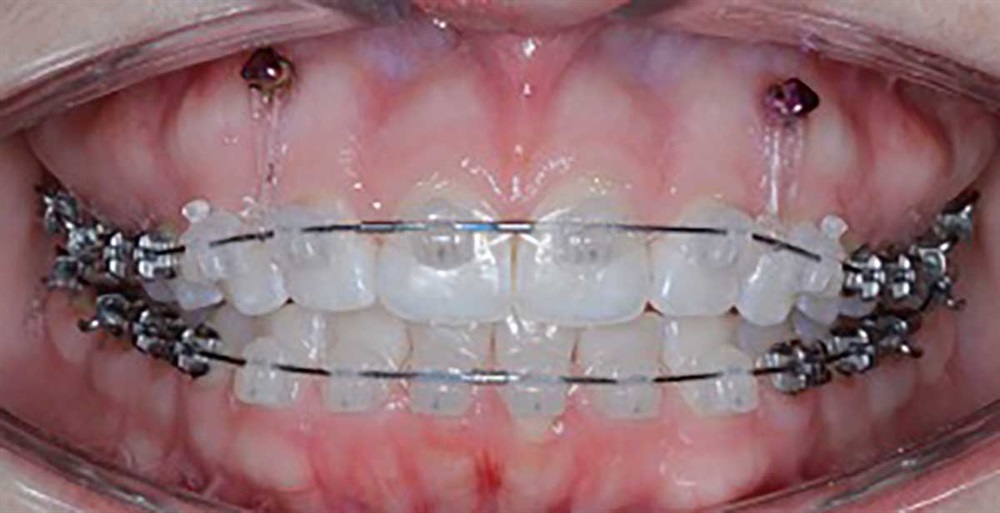
TADs

Temporary Anchorage Device (TAD) Titanium Pins

Temporary anchorage devices, or TADs, are small titanium pins used in certain orthodontic cases to help achieve quicker tooth movement with more efficiency and comfort. TADs may be used in addition to braces or as an alternative to headgear.

How are TADs placed?

A strong anesthetic is used to numb the gum tissue and the jaw surrounding the area where the TAD will be placed. Once the area is numb, your doctor will gently place the TAD through the gum tissue and firmly into the jawbone. The placing of a TAD is quick, and may be over before you know it. While your doctor is placing the TAD, you may feel slight pressure. Your TAD is removed once your treatment is complete, or when it is no longer needed to help straighten your teeth. Removal of a TAD is a comfortable procedure that takes just a few minutes.

What can I do to relieve discomfort caused by my TAD?

If you do feel any discomfort from having your TADs placed, you should take whatever you would normally take for a headache to help relieve your pain.

How can I keep my
TAD clean?

A TAD can be cleaned the same way you clean your braces, by brushing your teeth at least three times a day. When your TAD is placed, we will also provide you with an antimicrobial mouthwash.

If you have questions about TADs, please contact our practice. We will be able to answer any of your questions and provide you with detailed information about your orthodontic treatment.

© 2025 Quarry Orthodontics . All Rights Reserved. Website Design Company Algosoft